Pinzamiento de tobillo o impingement. Qué es, síntomas y tratamiento
30 May 2024El dolor de tobillo puede ser una barrera significativa para atletas afectando su rendimiento y calidad de vida. Una de las patologías que más puede afectarles es la inflamación y choque entre los huesos del tobillo, conocido como pinzamiento del tobillo o impingement. Esta patología no solo provoca dolor, sino que también puede limitar el movimiento y llevar a más complicaciones si no se trata adecuadamente.
¿Qué es el pinzamiento de tobillo o impingement?
El Síndrome de Pinzamiento de Tobillo, conocido en inglés como Ankle Impingement, es una inflamación en la parte anterior o posterior del tobillo debido a un choque entre la tibia y el astrágalo durante los movimientos del pie. Este choque provoca una sinovitis reactiva, es decir una inflación del tobillo, y la formación de espolones óseos llamados osteofitos. Tanto la inflamación como los osteofitos se encuentran en la tibia y el cuello del astrágalo, o en la parte posterior de este.

Esta patología es motivo de consulta muy común en jugadores de fútbol, saltadores y bailarines. El cuadro de dolor es similar, pero localizado en la parte posterior. Los pacientes cuentan que la progresión del dolor es lenta y con períodos de mejora con el reposo.
Causas del pinzamiento de tobillo o impingement
La principal causa del pinzamiento de tobillo es el choque entre la tibia y el astrágalo. Principalmente, se debe a traumatismos o esguinces de repetición en el tobillo. Estas lesiones continuas producen una irritación a nivel de los tejidos de la parte anterior del tobillo generando una cicatriz y una inflamación en esta localización de la articulación.
En casos más severos, asociados a inestabilidad, se puede producir un osteofito o espolón óseo. Sin embargo, el mecanismo varía entre los dos tipos de pinzamiento:
Pinzamiento Anterior de Tobillo
Se debe a la tracción repetida de la cápsula anterior del tobillo en posiciones de flexión máxima, como en las puntas de los bailarines o al chutar en el fútbol, así como al choque entre la tibia y el cuello del astrágalo.

Pinzamiento Posterior de Tobillo
Ocurre cuando la región posterior del astrágalo choca con la tibia y el calcáneo. A menudo se encuentra un hueso adicional, llamado hueso trígono (Os trigonum), que se pinza en la parte posterior al estar en puntillas.
Síntomas del Pinzamiento de Tobillo o impingement
El principal síntoma es dolor, seguido de rigidez y pérdida de rango articular durante la actividad deportiva. La mayoría de los pacientes aquejan una progresión lenta del dolor, que mejora con el reposo. Algunos refieren menor movilidad, con sensación de “tope” por delante.
Con el tiempo, la práctica deportiva se ve afectada, siendo especialmente doloroso al chutar un balón o en ciertas posiciones en la danza. En los casos más avanzados, se reduce el rango de movimiento del tobillo y aumenta su volumen. En la exploración física podemos detectar el dolor anterior del tobillo, y mediante una radiografía se pueden ver los osteofitos.

En casos de no haber osteofitos puede ser que el cuadro sea solamente de una inflamación del líquido sinovial, de carácter más benigno. Sin embargo, para un seguro diagnóstico debemos hacer un estudio con resonancia magnética para confirmar además que no haya otras lesiones más graves como las lesiones osteocondrales.
Tratamiento de la patología
El tratamiento inicial debe ser conservador, mediante tratamiento de control del dolor y la inflamación, frío, antiinflamatorios y fisioterapia. Las infiltraciones locales con corticoides, a veces acompañadas de ácido hialurónico intra-articular para proteger el cartílago

En los casos evolucionados el tratamiento definitivo es la cirugía. A través de cirugía mínimamente invasiva como la artroscopia de tobillo, podemos realizar una limpieza de la articulación, eliminando el tejido inflamado, los osteofitos y el hueso sobrante causante del choque. Este tratamiento nos permite además visualizar la articulación y diagnosticar (y tratar) otras posibles lesiones asociadas, como las lesiones del cartílago.
El postoperatorio es sencillo, con unos días de reposo relativo, pero se permite mover y apoyar el pie casi desde el primer día. En un mes y medio aproximadamente puede empezarse a correr y en dos meses aproximadamente el deportista se reincorpora a su actividad.
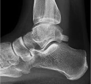
Caso clínico
En la imagen mostramos una radiografía lateral en carga de un paciente con limitación a la flexión dorsal del tobillo. El paciente padece pinzamiento de tobillo, choque o impingement. Se produce debido a la colisión de las superficies óseas de astrágalo y tibia en la zona que señalamos.

Habitualmente los pacientes con esta patología refieren dolor cuando están caminando y cargando todo el peso en el pie. Este momento coincide con el 2º rocker del paso, cuando se debe producir un avance de la tibia sobre el astrágalo sin ningún tipo de limitación.
En la foto aparece el esquema del “Lunge test“. Lo utilizamos para valorar la cantidad de flexión dorsal que puede realizar el paciente sin dolor. Consiste en medir con un inclinómetro los grados que se puede desplazar la tibia en sentido anterior (respecto al pie).
El tratamiento que se aconseja es conservador consistiendo en inmovilización de la zona, analgésicos, infiltraciones y rehabilitación.
En Podoactiva podemos ayudarte. Consulta tu clínica Podoactiva más cercana o llámanos al 974 231 280 o a través de info@podoactiva.com.








